2017年12月7日(木)
ネコの病気(泌尿器:尿管結石閉塞)
先日、術後の検診で来院したねこちゃんがいます。
この飼い主さんは、初診時、うちの子おなかが悪いのでと、消化器サポートを持参されて来院されました。
吐き気、食欲不振で腸の病気と診断され、点滴、通院を続けていたそうです。血液検査はCRE(腎機能の一種)は少し高いだけで、脱水、他は異常はありません。おしっこも毎日していたそうです。
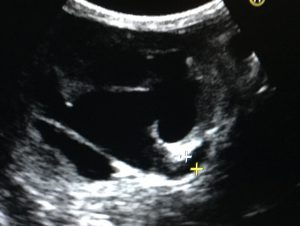
超音波検査で 消化管の表面は荒れていましたが、左腎盂、尿管拡張が認め その先には2.4mmほどの結石が存在しました。
矢印は左尿管です。通常は、確認できません。
矢印は尿管結石(白く細長い)です。途中で詰まっていました。
造影検査をしてから、飼い主さんの希望で立ち合いのもと、尿管結石摘出手術を行いました。その後嘔吐が改善し、食欲も出て、2.2から2.5kgまで体重も戻りました。おとなしい子と思い込んでいましたが、なかなかやんちゃで、、。
ペン先の横のものは摘出した結石です。
嘔吐=消化器疾患ではないです。症状での思い込みはねこちゃんを苦しめてしまうので、気をつけましょう。
うちの子も載せてとのお話でしたが、ボケボケでしたので・・・・・
すみませんでした。
追伸
この子は今年春に左尿管結石除去手術をしています。この2~3日前から、今度は右尿管に結石が閉塞してきています。今回は内科療法が効いていて、現在通院中です。
まいちゃん、怖がりだけど、頑張っています。この子みたいに両方の腎臓でなることもあります。この飼い主さんに、前回休診日に手術を手伝っていただいたので、すごく助かりました。
ありがとうございました。今回は大丈夫ですよ。
僕も、同じ病気で通院中です。ずっと、ご主人と頑張っているニャン。










